





日前首都醫科大學附屬北京安貞醫院心外科張海波教授團隊在紀智禮書記和張宏家院長大力支持下,成功應用LuX-Valve Plus經血管介入三尖瓣置換系統,為一例重度三尖瓣反流患者完成頸靜脈穿刺途徑的微創瓣膜置換手術,并獲圓滿成功!這也是LuX-Valve Plus新型介入瓣膜在上海之外的醫院首次臨床應用,預示著中國完全自主研發的新一代經皮穿刺三尖瓣置換產品進入新的階段。

患者基本情況:
接受本次治療的為一名71歲男性患者,主訴“活動后胸悶、氣短3年余”。18年前,患者于外院做過二尖瓣機械瓣置換+三尖瓣成形術,無冠脈介入治療和冠脈搭橋史。
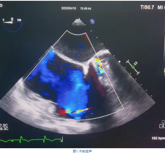
術前超聲提示:
1.右心、左房明顯增大;
2.二尖瓣人工機械瓣功能正常,無瓣周漏;
3.三尖瓣環巨大擴張,收縮期瓣葉對合不攏,收縮期三尖瓣房側見大量反流信號,反流面積15-20cm²,TRVmax:240cm/s,跨瓣壓差:23 mmHg。

結合術前CT評估結果,患者老年男性,體弱,下肢浮腫和間段腹水病史,王堅剛主任、王盛宇主任、鄭帥醫師、王勝詢醫師、孟斐醫師、胡秋明醫師等專家團隊,聯合超聲專家何怡華、張涵,麻醉專家盧家凱、武威,體外循環專家黑飛龍、楊景,重癥中心專家賈明、劉楠,影像科專家徐磊、王文川等多個專家會診討論后,認為再次開胸和體外循環下進行三尖瓣手術,對患者創傷較大,因此計劃使用LuX-Valve Plus經血管三尖瓣置換系統對患者進行手術。術前利用3D打印模型多次進行體外模擬演練,為患者制定了最優的手術策略。
此次手術在全麻下進行,采用經右側頸靜脈入路。術中在經食道超聲和DSA的指引下多個維度精細調整輸送器角度,在達到正確位置后,逐步釋放瓣膜錨定裝置和盤片,最終完成瓣膜植入。術后患者右房壓明顯下降,術后超聲提示人工三尖瓣同軸性良好,瓣架固定牢靠,無反流和瓣周漏,血壓術后即刻上升20mmHg左右,手術后監護室順利拔除氣管插管,3天后恢復良好,予以出院。

三尖瓣反流(TR)是一種常見的心臟瓣膜疾病,在美國重度TR的患者人數超過150萬。嚴重的三尖瓣反流患者臨床預后差,也會極大的降低患者的生活質量。由于三尖瓣獨特的解剖結構及病理生理學特點,使用微創介入三尖瓣置換裝置的設計尤為困難。作為全球首款、具有中國完全自主知識產權的經導管介入三尖瓣置換系統,LuX-Valve利用前瓣夾持及室間隔錨定的復合方式進行瓣膜裝置固定,不依賴瓣環徑向支撐力。同時采用自適應復合裙邊材料,結合雙層瓣膜結構,可以有效貼合密封柔軟的三尖瓣瓣環,對于三尖瓣反流患者有優異的療效。早在疫情之前,2019年張海波教授曾經赴加拿大進行LuX-Valve介入三尖瓣手術帶教和學術報告。此次治療應用的“LuX-Valve Plus”系統是第二代產品,這款產品采用了經血管輸送系統(經頸靜脈入路),這種術式對患者的身體損傷更小,術后恢復更快,進一步降低了手術風險。特殊設計的輸送器和支架支撐系統更加方便術者進行術中操作,更加方便進行介入瓣膜的多個維度的精細調控,大大提高了手術的簡便性和準確度,進一步提高了手術安全性。此款產品的正式多中心臨床研究即將開展,相信日后會為更多的三尖瓣反流患者帶來福音。