





近日,廈門大學心血管病醫院王焱教授帶領的結構性心臟病團隊,成功應用LuX-Valve Plus經血管三尖瓣置換系統,為一例高危三尖瓣重度反流患者開展經血管三尖瓣置換手術。此次手術系LuX-Valve Plus人工瓣膜在福建省的首例植入,手術過程順利,術后患者三尖瓣反流顯著改善,標志著由葛均波院士團隊作為主要研究者的LuX-Valve Plus經血管三尖瓣置換系統全國多中心臨床研究的再一次成功實踐,為三尖瓣介入治療的醫學循證打下了夯實的基礎。 、

患者情況
接受治療的是一例二尖瓣機械瓣置換術后11年的患者,近2個月活動后氣促伴面部浮腫。
房顫、不完全右束支傳導阻滯;
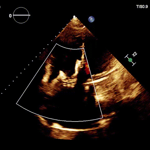
1.二尖瓣位機械瓣位置及功能未見異常;2.雙房及右室明顯擴大(左房收縮容積115ml,右房收縮容積370ml,右室中段左右徑65mm,右室FAC37%),下腔靜脈及冠狀靜脈竇擴張(下腔靜脈直徑44mm,冠狀靜脈竇直徑22mm);3.極重度三尖瓣反流(FTR 6+)。
入路血管最小平均徑約14.5mm,入路血管無嚴重迂曲,無鈣化。

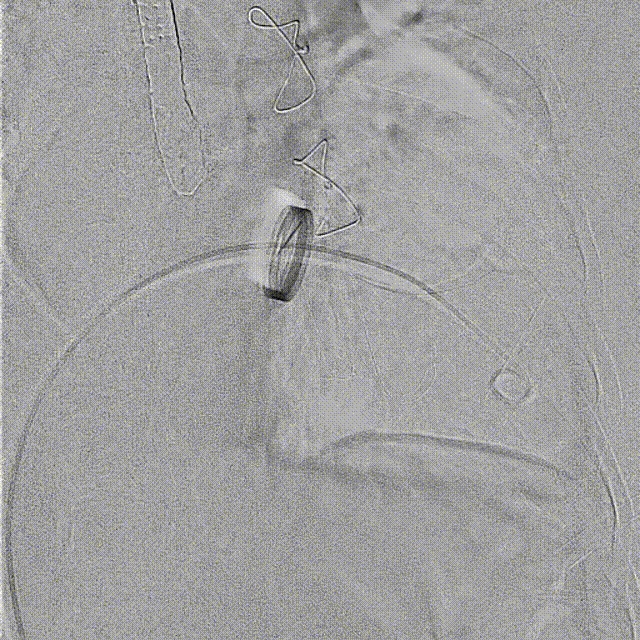
術前DSA

術前超聲
隨后,王焱教授及其團隊王斌教授、陳翔教授、超聲科蘇茂龍主任、手術室溫紅梅護士長進行了詳細而周密的術前討論,最終選擇我國自主研發的LuX-Valve Plus經血管三尖瓣置換系統對患者進行手術。
手術在全麻狀態下開展,海軍軍醫大學附屬長海醫院陸方林教授與廈門心血管病醫院王焱院長共同上臺,為患者進行手術。此次手術采用經右側頸靜脈入路的方式將輸送器送入患者心臟內,在TEE及DSA引導下調整輸送器頭端角度,使得輸送器與三尖瓣瓣環平面垂直。在輸送器進入右心室后釋放室間隔錨定裝置,而后釋放瓣葉夾持件(2個耳片結構)成垂直狀態。在TEE及DSA確定夾持件固定至三尖瓣葉根部且位于右室側后釋放人工瓣心房側盤片。隨后調整瓣膜同軸性以及室間隔錨定件位置(貼合室間隔),前推藏針管并固定,進而釋放室間隔錨定裝置,并再次確認瓣膜位置、穩定性及同軸性,合攏輸送鞘后撤出輸送器,完成LuX-Valve Plus人工三尖瓣瓣膜的植入。

術后DSA

術后超聲
三尖瓣又被稱為“被遺忘的瓣膜”,長期缺乏安全有效的治療手段。經血管三尖瓣置換術是治療三尖瓣反流的一種創新型微創手術方式,極大改善了患者的預后,提高了患者的生活質量。LuX-Valve Plus是我國自主研發的用于治療三尖瓣重度反流患者的經導管三尖瓣介入置換產品,是LuX-Valve的第二代,通過頸靜脈方式入路。其具有全球首創的“非徑向支撐力依賴”和“室間隔錨定”理念,極大降低傳導阻滯的發生風險,能更好適應三尖瓣組織菲薄脆弱的特性。經頸靜脈的入路方式更是極大減少了對患者的損傷。并且,LuX-Valve Plus的多種型號也可覆蓋不同瓣環的患者,產品優勢顯著。
廈門大學心血管病醫院王焱教授領銜的結構性心臟病團隊在瓣膜介入治療領域始終不懈努力,持續創新,此次順利完成LuX-Valve Plus經血管三尖瓣置換系統全國多中心注冊臨床福建首例受試者入組,為國產自主研發的三尖瓣介入產品的臨床研究穩步發展提供了更多信心。王焱教授表示:“LuX-Valve Plus經血管入路的微創技術為高危三尖瓣反流患者帶來了希望,手術對患者的創傷小,患者術后恢復快,可顯著改善患者的反流癥狀和生活質量。隨著國產器械理念不斷更新,產品不斷創新,相信未來三尖瓣治療領域必將會朝著更多元化、多樣化的治療方式發展,讓患者獲益更多。”