





近日,健世科技(9877.HK)自主研發的經頸靜脈三尖瓣置換產品LuX-Valve Plus在亞太地區多家醫院成功完成了一系列收費同情救治使用,其中包括數例罕見復雜解剖結構的病例。術后患者臨床表現、心臟功能及生活質量顯著改善,充分證明了該產品適用范圍廣、可靠性高及操作簡單的特點。
堅守自主創新,歷經十載研發之路,健世科技成功開發出LuX-Valve及LuX-Valve Plus經導管三尖瓣置換產品,為三尖瓣重度反流這一公共健康危機和全球性難題交上了令人振奮的解決方案。面對患者們急迫的臨床治療需求,健世科技正在持續快速開展LuX-Valve Plus于亞太地區的收費同情救治使用手術,提前實現對重度三尖瓣反流患者的救治。

部分罕見病例分享
第一例患者手術難點
1、血管入路問題,最窄處平均徑5.5mm(小于8.5mm),輸送器存在進入受阻礙風險; 2、投照體位過大,RAO76°,術中影響輸送器操作可能性大;3、三尖瓣環大,同軸性難調整,易產生瓣周漏;4、起搏器導線在三尖瓣瓣環中心位置穿過,且較短,可能限制人工瓣膜展開,且尖端靠近室間隔錨定區,可能影響錨定;5、三尖瓣極重度反流,藥物不能緩解患者的癥狀,在應用LuX-Valve Plus之前,心臟專家經長時間評估均未為患者找到合適的產品或治療方案。

術中DSA顯示起搏器導線的干擾,右心室造影確定瓣環位置,操作空間小

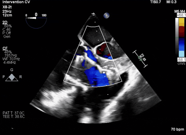
術后超聲顯示人工瓣膜穩定性良好,瓣葉啟閉正常
第二例患者手術難點
1、患者左心機械瓣術后,術中TEE成像有偽影干擾;2、三尖瓣重度反流,右心房、心室嚴重擴張致三尖瓣葉拴系,Gap:15.3mm,注意阻擋件抓取瓣葉操作。

術前超聲顯示三尖瓣重度反流合并拴系

術中TEE成像困難,偽影干擾

術后DSA、超聲顯示人工瓣膜穩定性良好,瓣葉啟閉正常,無瓣周漏
第三例患者手術難點
1、心率慢(<50bpm),術后起搏器植入風險,術前需評估心電圖情況;2、CT顯示主動脈瓣機械瓣置換術后,需明確三尖瓣是否同期做過修復。

術中TEE觀察夾持件的位置

術后DSA

術后超聲評估瓣膜穩定性良好,無瓣周漏
手術過程
術者采用經右側頸靜脈入路的方式將輸送器送入患者心臟內,在TEE及DSA引導下調整輸送器頭端角度,使得輸送器與三尖瓣瓣環平面垂直。在輸送器進入右心室后釋放室間隔錨定裝置,而后釋放瓣葉夾持件(2個耳片結構)成垂直狀態。在TEE及DSA確定夾持件固定至三尖瓣葉根部且位于右室側后釋放人工瓣心房側盤片。隨后調整瓣膜同軸性以及室間隔錨定件位置(貼合室間隔),前推藏針管并固定,進而釋放室間隔錨定裝置,并再次確認瓣膜位置、穩定性及同軸性,合攏輸送鞘后撤出輸送器,最終順利完成LuX-Valve Plus人工三尖瓣瓣膜的植入。
術后,各大醫院教授術者均夸贊LuX-Valve Plus產品選擇性及包容性強,容錯率高,特別是對于大瓣環,可以滿足更多需求,解決現有臨床難題,給患者帶來福音,有效地改善和提高患者的生活質量。
參加香港瓣膜大會
本月,健世科技攜LuX-Valve Plus受邀參加2023年香港瓣膜大會(Hong Kong Valves Conference)。在會場獨立展臺,通過專業的演示和細致的講解,LuX-Valve Plus吸引到來自不同地區各大醫院的專家教授,獲得了高度贊譽。在會中,與會專家隆重介紹了LuX-Valve Plus的設計原理、優勢特點、Corelab報告及手術流程等,參會專家學者就LuX-Valve Plus展開積極討論。品牌影響力亦得到提升,助力于亞太地區的收費同情救治使用的持續開展。




聲明
本文披露內容僅作為學術交流之目的,在任何情況下均不得被視為醫療建議。我司對所有原創、轉載、分享的內容的準確性,完整性或時效性不做任何陳述或保證。
本文提及的任何醫療器械,我司不對其在診療活動中的性能、臨床表現等做任何承諾及保證。